
Ca lâm sàng: K thực quản
BS HỒ CHÍ TRUNG, BS VÕ NGUYỄN THÀNH NHÂN, BS LÝ THÁI HÒA
Bệnh viện Đa khoa Hòa Hảo - Medic Cần Thơ
Bệnh nhân: nam 70t.
Địa chỉ: an thới, bình thủy, cần thơ.
Lâm sàng: chán ăn, đau âm ỉ vùng thượng vị, nuốt nghẹn, buồn nôn, sụt 10kg trong 3 tháng.
Xquang: tim phổi bình thường.
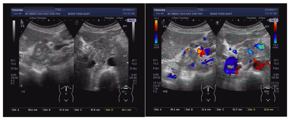
Siêu âm

Dày vách thực quản đoạn tâm vị 15mm, chùm hạch lớn 5cm vùng cạnh đầu và thân tụy.

Hạch dạng di căn 12mm vùng thượng đòn trái.
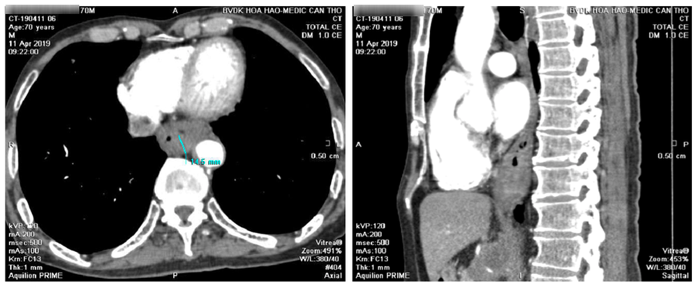
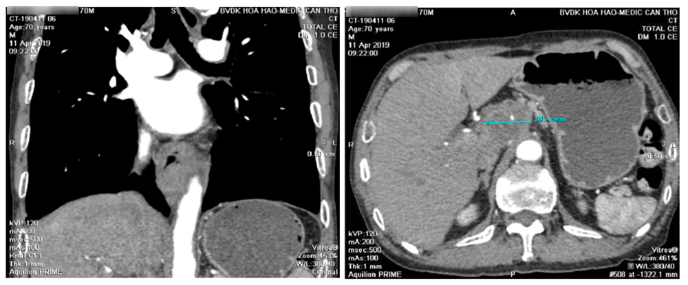
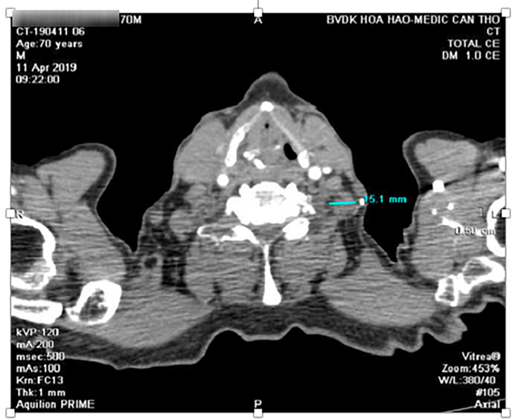
Msct toàn thân có tiêm thuốc cản quang


Dầy thành thực quản 15mm kéo dài 1/3 cuối thực quản, bắt thuốc cản quang mạnh, chùm hạch lớn vùng đầu tụy 5cm

Hạch 14mm vùng thượng đòn trái
Nội soi thực quản

Kết quả giải phẫu bệnh

Chẩn đoán: k thực quản đoạn 1/3 dưới di căn hạch thượng vị và thượng đòn trái.












