
Case lâm sàng: Một bệnh nhân mắc 2 loại ung thư: Ung thư phổi không tế bào nhỏ và ung thư đường mật tuýp ống nhỏ
Những tiến bộ trong sàng lọc và chẩn đoán làm tăng khả năng phát hiện đa ung thư nguyên phát trên người bệnh ở mọi giai đoạn. Dựa vào thời gian phát hiện ung thư nguyên phát thứ hai trở đi so với loại đầu tiên, có thể chia chúng làm 2 loại: đồng thời (synchronous) và liên tiếp (metachronous).
Tiên lượng bệnh đa ung thư nguyên phát phụ thuộc vào nhiều yếu tố như vị trí khối u, giai đoạn bệnh, thời gian giữa chẩn đoán ung thư nguyên phát đầu tiên và tiếp theo. Chưa có sự khác biệt có ý nghĩa thống kê về tỉ lệ tử vong giữa đơn và đa ung thư nguyên phát.
Tuy nhiên, còn tồn tại nhiều thách thức trong việc điều trị nhiều loại ung thư nguyên phát trên cùng cá thể. Với thể đồng thời, cần phải lựa chọn phương pháp điều trị vào tất cả các loại ung thư mà không tăng độc tính hay tác động xấu lên người bệnh.
Sau đây chúng tôi xin trình bày một trường hợp lâm sàng bệnh nhân mắc hai loại ung thư: ung thư phổi không tế bào nhỏ và ung thư đường mật tuýp ống nhỏ.
* Hành chính
Họ và tên: N.X.T Giới tính: Nam Tuổi: 64
Nghề nghiệp: Hưu trí
Địa chỉ: huyện Tân Yên, tỉnh Bắc Giang
* Lý do vào viện: Gầy sút cân
* Bệnh sử: Cách vào viện 1 tuần, bệnh nhân thấy chán ăn, sút 4 kg/1 tuần, không khó thở, không ho, không đau ngực, không đau bụng, đại tiểu tiện bình thường. Bệnh nhân khám tại Khoa khám bệnh - Bệnh viện Bạch Mai, chụp cắt lớp vi tính lồng ngực phát hiện khối, nốt ở nhu mô phổi và khối nhu mô gan => Chuyển đến Trung tâm Y học hạt nhân và Ung bướu.
* Khám lúc vào viện:
- Bệnh nhân tỉnh, G: 15đ
- Toàn trạng: ECOG 0
- Thể trạng trung bình (Chiều cao: 1,67m; Cân nặng: 58kg => BMI: 20,8)
- Mạch: 98 chu kỳ/phút; Huyết áp: 120/80 mmHg
- Da niêm mạc hồng, không phù, không xuất huyết dưới da
- Tuyến giáp không to, hạch ngoại vi không sờ thấy
- Tim đều, T1 T2 rõ, không có tiếng tim bệnh lý
- Phổi không rale. Bụng mềm, không chướng.
* Tiền sử:
- Bệnh lý
+ Viêm gan B không điều trị.
+ Xuất huyết dạ dày cách 15 năm điều trị nội khoa đã ổn định.
+ Không tăng huyết áp, đái tháo đường
- Thói quen, sinh hoạt
+ Hút thuốc lá 23 bao.năm, đã bỏ
+ Uống rượu 500ml/ngày
- Môi trường
+ Nghề nghiệp tiếp xúc với amiăng, thuốc trừ sâu.
- Dị ứng: chưa phát hiện bất thường
Gia đình: Bố đẻ mắc ung thư gan.
* Xét nghiệm cận lâm sàng
- Huyết học: Hồng cầu: 4.25 T/L (giảm nhẹ); Bạch cầu: 8.0 G/L (trong giới hạn bình thường); Tiểu cầu: 113 G/L (giảm nhẹ)
- Hóa sinh máu: Albumin: 37.1 g/L; ALT: 30 U/L (trong giới hạn bình thường); AST: 41 U/L (tăng nhẹ), Billirubin toàn phần: 9.2 μmol/L, Billirubin trực tiếp: 4.2 μmol/L (trong giới hạn bình thường)
- Đông máu: Pt(s): 12.2s; Pt(%): 88%; INR: 1.11 (trong giới hạn bình thường)
- Miễn dịch:
+ CEA: 4.98 ng/mL (tăng)
+ Cyfra 21-1: 7.18 ng/mL (tăng)
+ NSE: 17.3 ng/mL (tăng nhẹ)
+ AFP toàn phần: 469.5 ng/mL (tăng cao)
+ AFP-L3: 90.6% (tăng cao)
+ PIVKA-II: 93 mAU/mL (tăng)
+ CA 19-9: 180.0 U/mL (tăng cao)
+ PSA tự do: 0.65 ng/mL (trong giới hạn bình thường)
+ PSA total: 1.94 ng/mL (trong giới hạn bình thường)
- Vi sinh: HCV Ab: (-); Tải lượng HBV: 3.00 x 106 IU/mL (tăng rất cao), Mycobacterium tuberculosis (-)
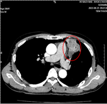
- Cắt lớp vi tính lồng ngực có tiêm thuốc cản quang:

Hình 1. Khối u kích thước 51x58x42mm thùy trên phổi trái, ngấm thuốc không đều sau tiêm (vòng tròn đỏ).


Hình 2: Vài nốt đặc nhu mô phổi 2 bên, kích thước lớn nhất 5x6mm


Hình 3: Nhu mô hạ phân thùy VII có vài khối, nốt kích thước lớn nhất 33x26mm giảm tỷ trọng trước tiêm, ngấm thuốc thì động mạch (vòng tròn đỏ), thải thuốc thì tĩnh mạch cửa (vòng tròn).
Cắt lớp vi tính ổ bụng có tiêm thuốc cản quang:

Hình 4: Theo dõi di căn hạch rốn gan (vòng tròn trắng).

Hình 5: Hình ảnh teo não theo tuổi.
Cộng hưởng từ sọ não có tiêm thuốc đối quang từ:

PET/CT toàn thân với 18FDG:
Hình 6: Hình ảnh khối tăng chuyển hóa FDG ở thùy trên phổi trái tương ứng với tổn thương nguyên phát đã biết (vòng tròn đỏ) (cT3).


Hình 7: Chưa phát hiện hạch to, tăng chuyển hóa FDG khu trú bất thường ở trung thất - hố thượng đòn, rốn phổi 2 bên (cN0).
- Giải phẫu bệnh: + U phổi: Hướng tới ung thư biểu mô tuyến chế nhầy nguồn gốc tại phổi.
+ U gan: Hướng tới ung thư biểu mô đường mật tuýp ống nhỏ.
- Sinh học phân tử: U phổi: đột biến xóa đoạn exon 19 gen EGFR.
* Chẩn đoán xác định
Ung thư phổi trái không tế bào nhỏ di căn phổi EGFR (+), giai đoạn IV cT3N0M1 - Ung thư đường mật tuýp ống nhỏ di căn hạch rốn gan, giai đoạn IIIB cT2N1M0 / Viêm gan B
* Hướng điều trị
Bệnh nhân được chỉ định điều trị theo phác đồ gemcitabine-cisplatin:
- Gemcitabine 1250mg/m2 truyền tĩnh mạch ngày 1,8.
- Ciplastin 80mg/m2 truyền tĩnh mạch ngày 1.
Chu kì: 21 ngày.
Bệnh nhân đang được tiếp tục theo dõi và điều trị tại Trung tâm Y học hạt nhân và Ung bướu, Bệnh viện Bạch Mai.
Nguồn: GS.TS Mai Trọng Khoa, PGS TS Phạm Cẩm Phương, ThS.BS Hoàng Công Tùng, SV. Phạm Thanh Xuân










